Skip to main content

Τοποθεσία

28ης Οκτωβρίου 9
Άργος, 21 232
Αργολίδα

Τηλ.-email

Ωράριο

  • Δε – Παρ
    9:00  π.μ. – 1:00  μ.μ.
  • Δε, Τρ, Πέμ, Παρ.
    5:30 – 8:30 μ.μ.

  • Τετάρτη (απόγευμα), Σάβ, Κυρ.
    ΚΛΕΙΣΤΑ

Κλείστε ραντεβού

Συμπληρώστε την φόρμα και θα επικοινωνήσουμε μαζί σας.

Σκωληκοειδίτιδα

Τι είναι η σκωληκοειδίτιδα;

  • Σκωληκοειδίτιδα είναι η λοίμωξη-φλεγμονή της σκωληκοειδούς απόφυσης, η οποία είναι ένας μικρός «σάκος» στο έντερο
  • Συχνότερες αιτίες της φλεγμονής μπορεί να είναι η απόφραξη του σάκου από έναν κοπρόλιθο ή κάποια ιογενή λοίμωξη
  • Ο «σάκος» αυτός δεν έχει κάποια γνωστή βιολογική χρησιμότητα
  • Περίπου 7% των ανθρώπων θα πάθουν κάποια σκωληκοειδίτιδα κάποια στιγμή της ζωής τους
  • Πιο συχνά νοσούν τα παιδιά και οι έφηβοι

 

 

Συμπτώματα

  • Πόνος στην κοιλιά (αρχικά γύρω από τον ομφαλό, στη συνέχεια στο δεξιό κάτω μέρος της κοιλιάς-δεξιός λαγόνιος βόθρος)
  • Εμετοί
  • Πυρετός
  • Ανορεξία
  • Πόνος κατά τη βάδιση
  • Διάρροια ή δυσκοιλιότητα
  • Δυσουρικά ενοχλήματα

Διάγνωση - θεραπεία

  • Αυξημένα λευκά αιμοσφαίρια και ουδετερόφιλα στη γενική αίματος
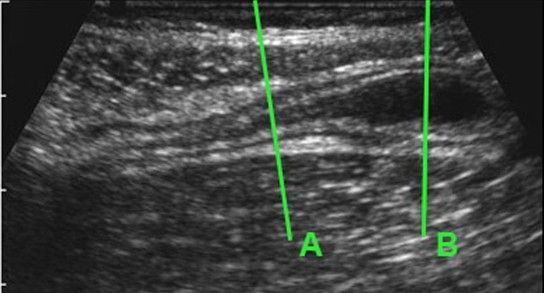
  • Υπερηχογράφημα (φώτο με διόγκωση σκωληκοειδούς απόφυσης,  γραμμή Β)
  • Σε δύσκολες και αμφίβολες περιπτώσεις αξονική ή μαγνητική τομογραφία
  • Η θεραπεία είναι χειρουργική